 
														 
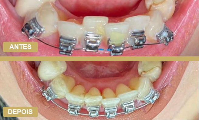
														Especialidade responsável pelo tratamento de reposicionamento dentário, caso estejam posicionados de forma inadequada, prejudicando ações como a fala e a mastigação.
É bastante indicado aos clientes, os Alinhadores Invisíveis, pois os mesmos oferecem 
 diversos benefícios como: Rapidez, Conforto, Previsibilidade, Higiene, 
Estética e poder comer o que quiser. 
Dentes tortos ou dentes que não se encaixam corretamente atrapalham na sua aparência, sorriso e, acima de tudo, são mais difíceis de serem limpos. Também causam problemas aos músculos de mastigação que pode levar a dores de cabeça, pescoço, ombros e costas.
																
 Entre outros tratamentos, o ortodontista recomendará o
																melhor aparelho fixo ou móvel para correção dos dentes.
															
 
														Uma boca com dentes saudáveis para mastigar e deglutir com eficiência precisa que os dentes estejam com correto alinhamento entre si, assim como um bom engrenamento entre as arcadas superiores e inferiores. Uma boa adaptação das arcadas dentárias facilita a respiração, a forma de falar, previne em muitos casos problemas de articulação além de proporcionar uma agradável estética, auxiliando também na prevenção das principais doenças bucais: cáries e doenças periodontais.
Quando um ou mais dentes não estão na posição correta na arcada dentária, é possível que ocorra algum problema na mastigação ou na fala. Por isso, o reposicionamento dentário atua para restabelecer a funcionalidade e estética dos dentes de maneira segura.
